سؤال من ذكر 23 سنة

أمراض العضلات والعظام و المفاصل

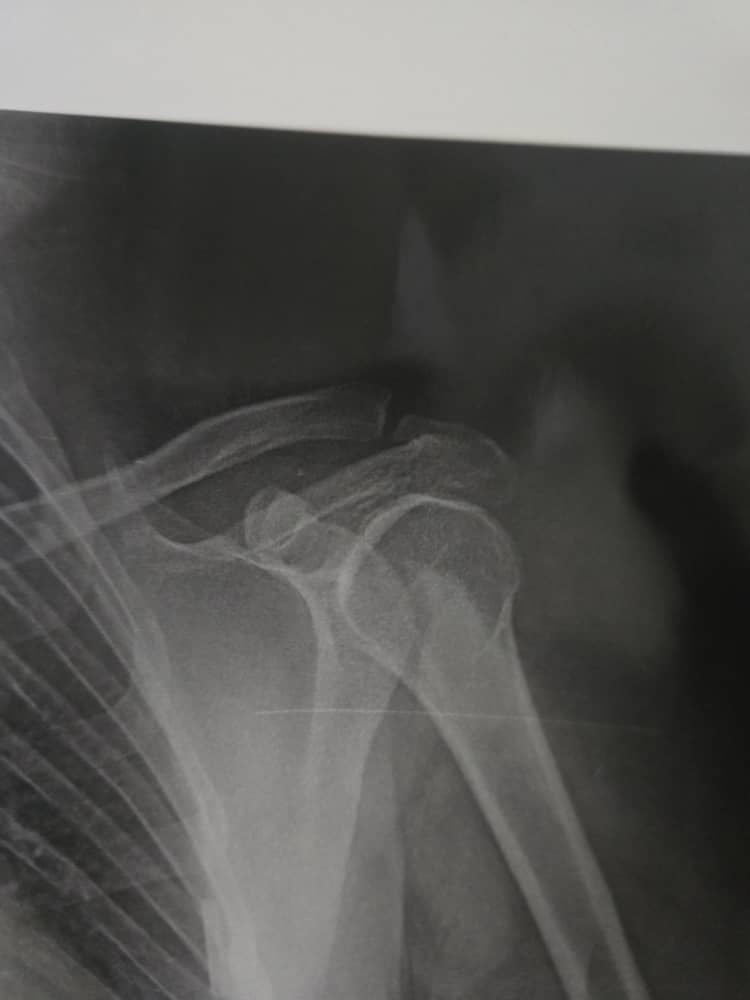
تقييم صورة شعاعية للكتف

icon تم إنشاؤها في 13 مارس 2026
icon تم تعديله في 14 مارس 2026
icon 7
هل الكتف طبيعي أم أن هناك أي علامات مرضية وإذا كان هناك ما التدبير المقترح

الملفات المرفقة:

IMG-20260313-WA0012 IMG-20260313-WA0011
WhatsApp Icon هل تريد إجابة أكثر تفصيلا؟ تحدث مع طبيب الآن

إجابات الأطباء على السؤال

هذا لا يكفي للتشخيص او للنصح والارشاد عليك مراجعة طبيب روماتيزم او طبيب جراحة عظام للفحص السريري لاجراء اللازم 0 2026-03-14T08:24:47+00:00 2026-03-14T08:24:47+00:00
هذا لا يكفي للتشخيص او للنصح والارشاد عليك مراجعة طبيب روماتيزم او طبيب جراحة عظام للفحص السريري لاجراء اللازم اقرأ المزيد
هذا لا يكفي للتشخيص او للنصح والارشاد عليك مراجعة طبيب روماتيزم او طبيب جراحة عظام للفحص السريري لاجراء اللازم

التعليقات

0 تعليق

كن الأول في مشاركة رأيك!

شارك تجربتك أو رأيك مع الآخرين

أسئلة وإجابات مجانية مقترحة متعلقة بأمراض العضلات والعظام و المفاصل

محتوى طبي موثوق من أطباء وفريق الطبي

أخبار ومقالات طبية

جميع المقالات
الكسر والخلع في الكتف والطرف العلوي مقالات طبية
الحوار النفسي أفضل علاج للحزن أخبار طبية
شاهد جميع المقالات

آخر مقاطع الفيديو من أطباء متخصصين

أحدث الفيديوهات الطبية

عرض كل الفيديوهات الطبية
هل وجدت هذا المحتوى الطبي مفيدا؟
altibbi logo

احصل على إجابتك خلال ثوانٍ مع سينا

اسأل الآن سينا يقدم لكِ الإجابة في ثوانٍ

starts اسأل سينا الآن go to Sina
download sina banner
الأسئلة الأكثر تفاعلاً