د. مصطفى الطالب
صيدلاني
علاجات مرض النقرس ( النقرص ) - داء الملوك 1
صيدلاني
علاجات مرض النقرس ( النقرص ) - داء الملوك 1
الأنف والاذن والحنجرة
تكلس عظمة الركاب هي عظمة من بين ثلاث عظام موجودة في الأذن الوسطى، وهذه العظام هى المطرقة والسندان والركاب. عظمة الركاب هى عظمة رقيقة وصغيرة تنقل الذبذبات إلى القوقعة مباشرة، وتقوم هذه العظام الثلاث ... اقرأ المزيد
طب عام
الوقاية من خطر التهاب المرارة هنالك العديد من الطرق التي يمكنك من خلالها تقليل خطر التهاب المرارة : افقد الوزن ببطء. فقدان الوزن السريع يمكن أن يزيد من خطر تكون حصى في المرارة. إذا كنت بحاجة إلى ... اقرأ المزيد
طب الاسرة
*تابع مقال* *برنامج اعادة الارضاع المعتمد من منظمة الصحة العالمية و منظمة مكافحة الأمراض والوقاية منها (Relactation Program of WHO and CDC)* يمكن أن يبدأ إنتاج الحليب في وقت مبكر بعد بضعة ... اقرأ المزيد
طب الاسرة
*برنامج اعادة الارضاع المعتمد من منظمة الصحة العالمية و منظمة مكافحة الأمراض والوقاية منها (Relactation Program of WHO and CDC)* *ما هو؟* هو العملية التي تقوم من خلالها الأم بإعادة الرضاعة ... اقرأ المزيد
نسائية وتوليد
عارفين إنك ماتقدريش تستغني عن الصبغة والبروتين لشعرك، خاصة لو متعودة عليهم من قبل الحمل! ولكن مع الحمل، هتكوني مضطرة توقفيهم شوية عشان صحة طفلك! بالنسبة للصبغة: • الأفضل تستخدمي الحنة الطبي ... اقرأ المزيد
معالج نفسي
الإنتحار هو الفعل الذي يُقدم فيه الشخص عمدًا على قتل نفسه. أما محاولة الإنتحار تنقسم بين الأشخاص الذين يحاولون الانتحار ولكن لا يريدون إنهاء حياتهم، والأشخاص الذين يحاولون الانتحار مع رغبةٍ داخلية بال ... اقرأ المزيد
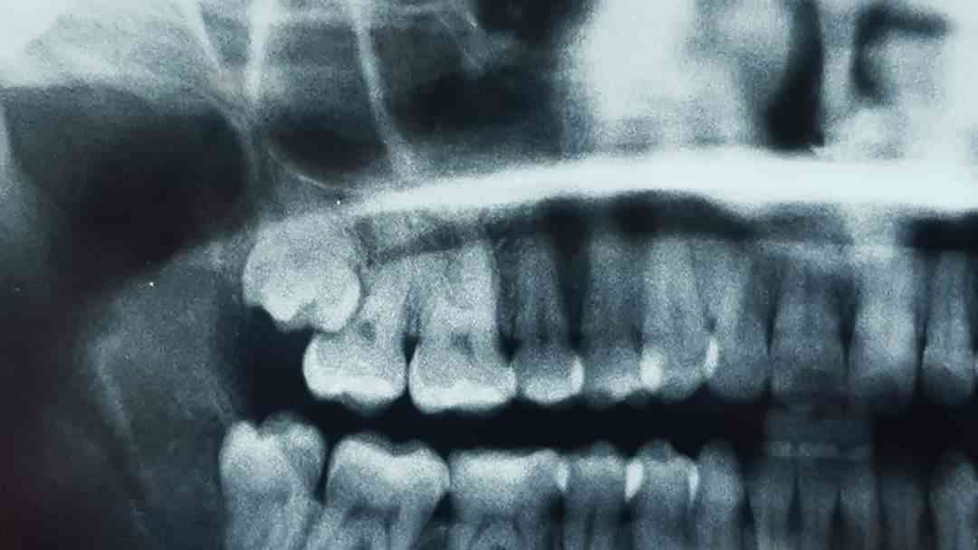
جراحة الفك والأسنان
الأضرار التي تسببها اضراس العقل احيانا. سأعرض اليوم حالة من الحالات في العيادة. منذ ثلاثة ايام اتت مريضة الى العيادة تعاني من الم شديد. بعد الاطلاع على الصورة الشعاعية تبين بأن ضرس العقل قد سبب ت ... اقرأ المزيد
جراحة الفك والأسنان
مخاطر قلع الضراس اللبنية قبل اوانها يلجأ معظم الاهل عند تسوس الاضراس اللبنية لأطفالهم الى قلع الضرس اللبني المتضرر بحجة انه لبني وان الضرس الدائم سيعوض مكانه، الا ان هذا العلاج خطأ.. في حال ان الع ... اقرأ المزيد