Medical images

اصوات الامعاء
اصوات الامعاء

هي ضَوضاء قَرْقَرِيّة أو غَرْغَرِيَّة تنجم عن التَمَعُّج (الحركة التَقَلُّصية...

اضطراب المعدة
اضطراب المعدة

المعدة (بالإنجليزية: Stomach) هي عضو من أعضاء الجهاز الهضمي لجسم

...

اعتلال القولون
اعتلال القولون

هو أي مرض أو اضطراب يُصيب القَولون.

اعتلال المعدة
اعتلال المعدة

أي مرض أو حالة غير طبيعية تصيب المعدة، خاصة

...

اقفار الامعاء
اقفار الامعاء

اقفار الامعاء هي حالة تحدث عندما ينخفض تدفق الدم الى

...

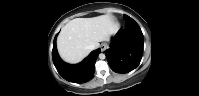
الاشعة المقطعية للكبد
الاشعة المقطعية للكبد

تعرف الأشعة المقطعية CT Scan بأنه طريقة تصوير للجسم تستخدم

...

الاعتلال المعوي الغلوتيني
الاعتلال المعوي الغلوتيني

عَدَم تَّحَمُّل الغلُوتين الذي يحدث بسبب استِجابَة مَناعِيَّة غير طبيعية

...

الالم الشرسوفي
الالم الشرسوفي

ألم راس المعدة هو المصطلح الذي يطلق على حالة الألم

...

التهاب الاقنية الصفراوية
التهاب الاقنية الصفراوية

التهاب القنوات الصفراوية هو التهاب يحدث في أي جزء من

...

التهاب الامعاء المخاطي
التهاب الامعاء المخاطي

هو التهاب الغشاء المخاطي المعوي، ومن اعراضه الإمساك أو الإسهال...

التهاب الخبايا
التهاب الخبايا

التهاب الخبايا هو مصطلح يستخدم لوصف التغيرات غير الطبيعية التي

...

التهاب السيني والمستقيم
التهاب السيني والمستقيم

هو التهاب الغشاء المخاطي المكون للمصران السيني و المستقيم .

...

التهاب الصفاق الحوضي
التهاب الصفاق الحوضي

يحدث التهاب الصفاق الحوضي عندما تلتهب المنطقة التجويفية الباطنية لمنطقة

...

التهاب الصفاق الصفراوي
التهاب الصفاق الصفراوي

التاهب الصفاق الناتج عن وجود العصارة الصفراوية في التجويف البطني

...

التهاب الصفاق
التهاب الصفاق

يعرف التهاب الصفاق على أنه الالتهاب الذي يصيب الغشاء البريتوني،

...

التهاب العفج والبواب
التهاب العفج والبواب

  هو التهاب الاغشية المخاطية المبطنة لمنفذ المعدة الى الاثني

التهاب العفج
التهاب العفج

  هو التهاب الاثني عشر ، و هو جزء منالتهاب

...

التهاب الفم القلاعي
التهاب الفم القلاعي

  • يظهر التهاب الفم القلاعي على شكل بقع صغيرة بيضاء لؤلؤية
...

التهاب القولون الاميبي
التهاب القولون الاميبي

التهاب القولون الاميبي هو العدوى الطفيلية التي تنشأ في الامعاء

...

التهاب القولون التشنجي
التهاب القولون التشنجي

هو اضطراب مزمن و شائع يصيب الجهاز الهضمي و خاصة

...