سؤال من ذكر 37 سنة

الحمل والولادة

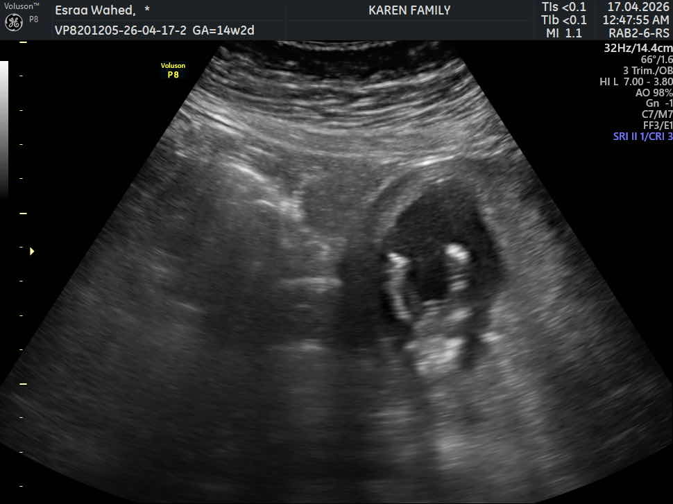
تحديد نوع جنين اول يوم في الشهر الرابع

icon تم إنشاؤها في 20 أبريل 2026
icon تم تعديله في 22 أبريل 2026
icon 46
هل يمكن تحديد نوع جنين اول يوم في الشهر الرابع في هذا السونار

الملفات المرفقة:

2C926F15-6423-4BB4-8254-0B0251175E31

إجابات الأطباء على السؤال

غالبا ذكر والله أعلم..تابعي الفحص 0 2026-04-22T09:59:42+00:00 2026-04-22T09:59:42+00:00
غالبا ذكر والله أعلم..تابعي الفحص اقرأ المزيد
غالبا ذكر والله أعلم..تابعي الفحص

التعليقات

0 تعليق

كن الأول في مشاركة رأيك!

شارك تجربتك أو رأيك مع الآخرين

أسئلة وإجابات مجانية مقترحة متعلقة بالحمل والولادة

محتوى طبي موثوق من أطباء وفريق الطبي

أخبار ومقالات طبية

جميع المقالات
من المسؤول عن نوع الجنين مقالات طبية
دراسة تحذر من دهون خفية داخل العضلات أخبار طبية
خرافات تحديد جنس الجنين في الماضي مقالات طبية
شاهد جميع المقالات

آخر مقاطع الفيديو من أطباء متخصصين

أحدث الفيديوهات الطبية

عرض كل الفيديوهات الطبية
هل وجدت هذا المحتوى الطبي مفيدا؟
altibbi logo

احصل على إجابتك خلال ثوانٍ مع سينا

اسأل الآن سينا يقدم لكِ الإجابة في ثوانٍ

starts اسأل سينا الآن go to Sina
download sina banner