تدوينات

img

الدكتور احمد عبدالسلام عبد القادر

جراحة عامة

blog-img

أعراض التهاب الغدد اللعابية يوجد العديد من الأعراض المصاحبة لالتهاب الغدد اللعابية، يذكر منها ما يأتي: عدم القدرة على فتح الفم بالكامل. الانزعاج أو الألم أثناء تناول الطعام وعند فتح الفم.الشعور بوج ... اقرأ المزيد

img 8

views 92 مشاهدة

img

الدكتور احمد عبدالسلام عبد القادر

جراحة عامة

blog-img

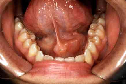
أورام الغدد اللعابية تعد أورام الغدد اللعابية من الأنواع النادرة، وتحدث عادةً في الغدة النكافية، إذ تمثل حوالي 85% من جميع أورام الغدد اللعابية، ويعاني المصاب من أعراض مختلفة، مثل: وجود تورم بالقرب م ... اقرأ المزيد

img 4

views 36 مشاهدة

img

الدكتور احمد عبدالسلام عبد القادر

جراحة عامة

blog-img

عوامل خطر الإصابة بالتهاب الغدد اللعابية. وجود بعض العوامل يمكن أن يجعل الفرد أكثر عرضةً للإصابة بالتهاب الغدة اللعابية مثل التقدم بالعمر،عدم نظافة الفم والأسنان سوء التغذية وفقدان الشهية،كثرةالتنف ... اقرأ المزيد

img 2

views 20 مشاهدة

img

الدكتور احمد عبدالسلام عبد القادر

جراحة عامة

blog-img

مضاعفات التهاب الغدد اللعابية من المضاعفات المحتملة لالتهاب الغدد اللعابية ما يأتي: تضخم الغدة اللعابية. تجمع القيح والخراج داخل الغدد اللعابية. انتشار العدوى البكتيرية من الغدد اللعابية إلى أجزاء ... اقرأ المزيد

img 2

views 13 مشاهدة

img

الدكتور احمد عبدالسلام عبد القادر

جراحة عامة

blog-img

العلاجات المنزلية لالتهاب الغدد اللعابية: قد تساعد على التقليل من أعراض الالتهاب: زيادة شرب السوائل لعلاج الجفاف.تدليك المنطقة المصابة عدة مرات يوميًا لتحفيز تدفق اللعاب.تناول الأطعمة والمشروبات الح ... اقرأ المزيد

img 3

views 33 مشاهدة

img

الدكتور احمد عبدالسلام عبد القادر

جراحة عامة

blog-img

التدخل الجراحي فى التهاب الغدد اللعابية: قد يحتاج المصاب إلى إجراء عملية جراحية لإزالة الحصى الموجودة داخل القناة اللعابية، أو لإزالة الورم المسبب لانسداد القناة اللعابية، والذي يؤثر في تدفق اللعاب، ... اقرأ المزيد

img 1

views 25 مشاهدة

img

الدكتور احمد عبدالسلام عبد القادر

جراحة عامة

blog-img

طرق علاج التهاب الغدد اللعابية العلاج الدوائي: إن العديد من التهابات الغدد اللعابية تزول مع مرور الوقت دون استخدام الأدوية،لكن يفضل استشارة الطبيب لوصف علاج يقلل من حدة أعراض الالتهاب،إذ يحتاج الأشخ ... اقرأ المزيد

img 1

views 10 مشاهدة

img

الدكتور احمد عبدالسلام عبد القادر

جراحة عامة

blog-img

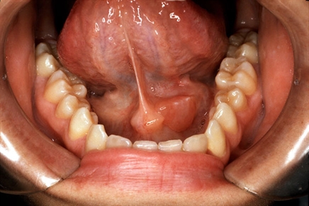
تشخيص التهاب الغدد اللعابية: الفحص السريري: يتم إجراء الفحص بالإضافة إلى الاستعلام عن التاريخ الطبي للمريض. الفحوصات المخبرية: تشمل فحوصات الدم، إذ يدل ارتفاع كريات الدم البيضاء على وجود عدوى بكتيري ... اقرأ المزيد

img 1

views 40 مشاهدة

img

الدكتور احمد عبدالسلام عبد القادر

جراحة عامة

blog-img

أسباب التهاب الغدد اللعابية يمكن أن يصاب الأشخاص بالتهاب الغدة اللعابية نتيجة العديد من الأسباب : انخفاض تدفق اللعاب بسبب بعض الحالات الطبية مثل جفاف الفم وقلة نظافة الفم، مما يزيد من نمو البكتيريا. ... اقرأ المزيد

img 1

views 14 مشاهدة