سؤال من ذكر 1 سنة

صحة الطفل

ميكانيزم الدوران في مرفق اليد لا يعمل

icon تم إنشاؤها في 19 يناير 2026
icon تم تعديله في 24 يناير 2026
icon 62
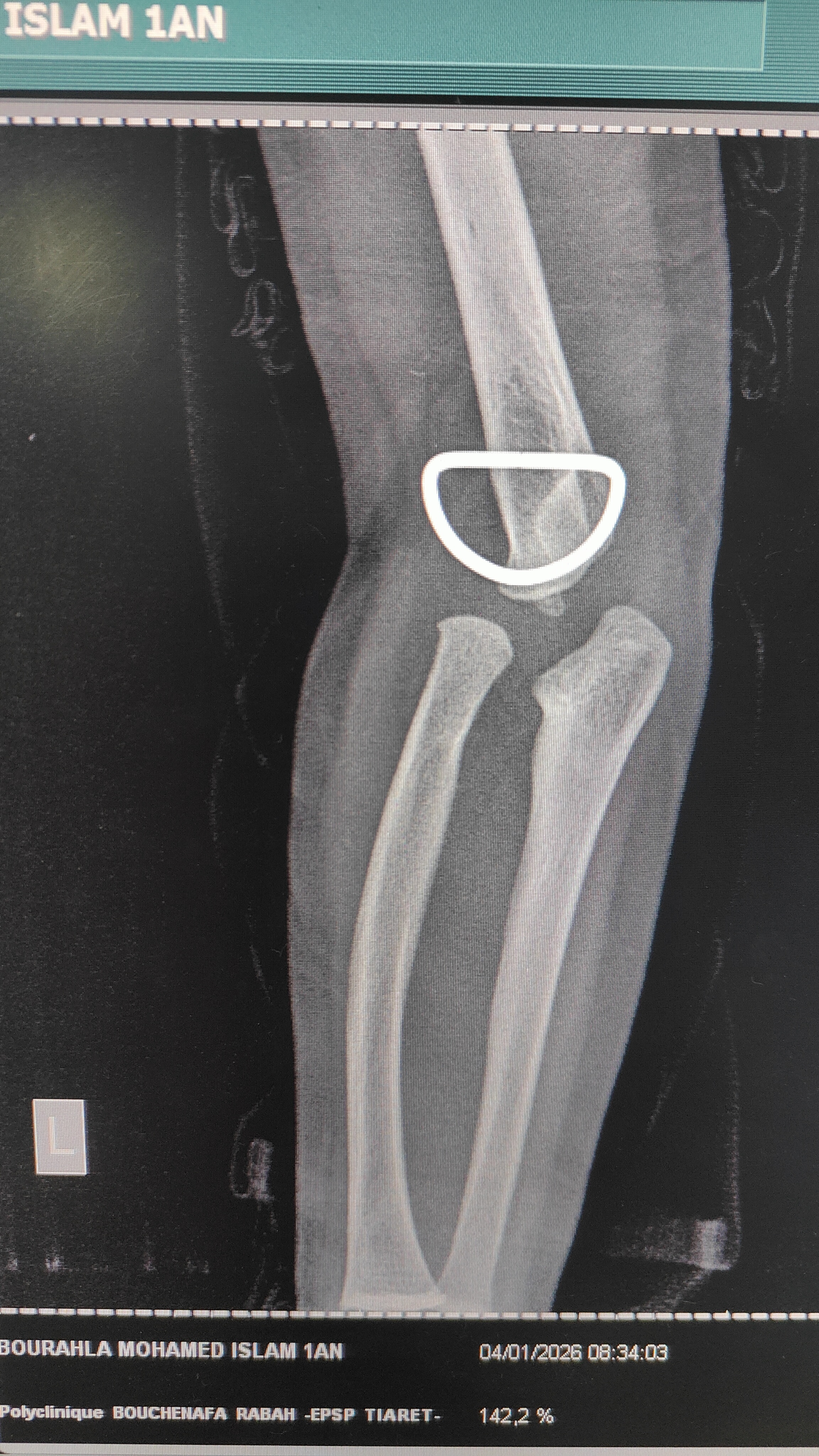
الحالة طفل بسن سنة و6 اشهر منذ الولادة لوحظ انتفاخ في الساعد بالقرب من المرفق ومع مرور الزمن اتضحت صعوبة في دوران اليد يمين يسار ويظهر في اشعة الراديو فراغ عند المرفق يبدو كخلع للعظم

الملفات المرفقة:

IMG20260104141812 IMG20260104141756
WhatsApp Icon هل تريد إجابة أكثر تفصيلا؟ تحدث مع طبيب الآن

إجابات الأطباء على السؤال

برجاء عمل اشعه عادية ع الرسغ ومتابعة طبيب عظام 0 2026-01-24T20:46:46+00:00 2026-01-24T20:46:46+00:00
برجاء عمل اشعه عادية ع الرسغ ومتابعة طبيب عظام

التعليقات

0 تعليق

كن الأول في مشاركة رأيك!

شارك تجربتك أو رأيك مع الآخرين

أسئلة وإجابات مجانية مقترحة متعلقة بصحة الطفل

محتوى طبي موثوق من أطباء وفريق الطبي

أخبار ومقالات طبية

جميع المقالات
طفح الحرارة: أعراضه وعلاجه مقالات طبية
الحوار النفسي أفضل علاج للحزن أخبار طبية
الحجامة الجافة مقالات طبية
شاهد جميع المقالات

آخر مقاطع الفيديو من أطباء متخصصين

أحدث الفيديوهات الطبية

عرض كل الفيديوهات الطبية
هل وجدت هذا المحتوى الطبي مفيدا؟
altibbi logo

احصل على إجابتك خلال ثوانٍ مع سينا

اسأل الآن سينا يقدم لكِ الإجابة في ثوانٍ

starts اسأل سينا الآن go to Sina
download sina banner
الأسئلة الأكثر تفاعلاً
سؤال من أنثى 29 سنة

بعد فترة التبويض مباشرة شعرت بالم فى الثدي وانتفاخ وظل الالم مستمر حتى نزول الدورة الشهرية علما بان الم الثدي كان يحدث قبل الدورة باسبوع فقط ماسبب استمراره وكان هرمون اللبن عندي ٤٤ واخدت ٤ علب dostinex ونزل بقى ١٠ و ده تاني شهر يحصل فيه وجع الصدر المستمر بعد التبويض