سؤال من أنثى 28 سنة

صحة الأسنان

الم تلبيس الاسنان

icon تم إنشاؤها في 21 فبراير 2026
icon تم تعديله في 5 مارس 2026
icon 64
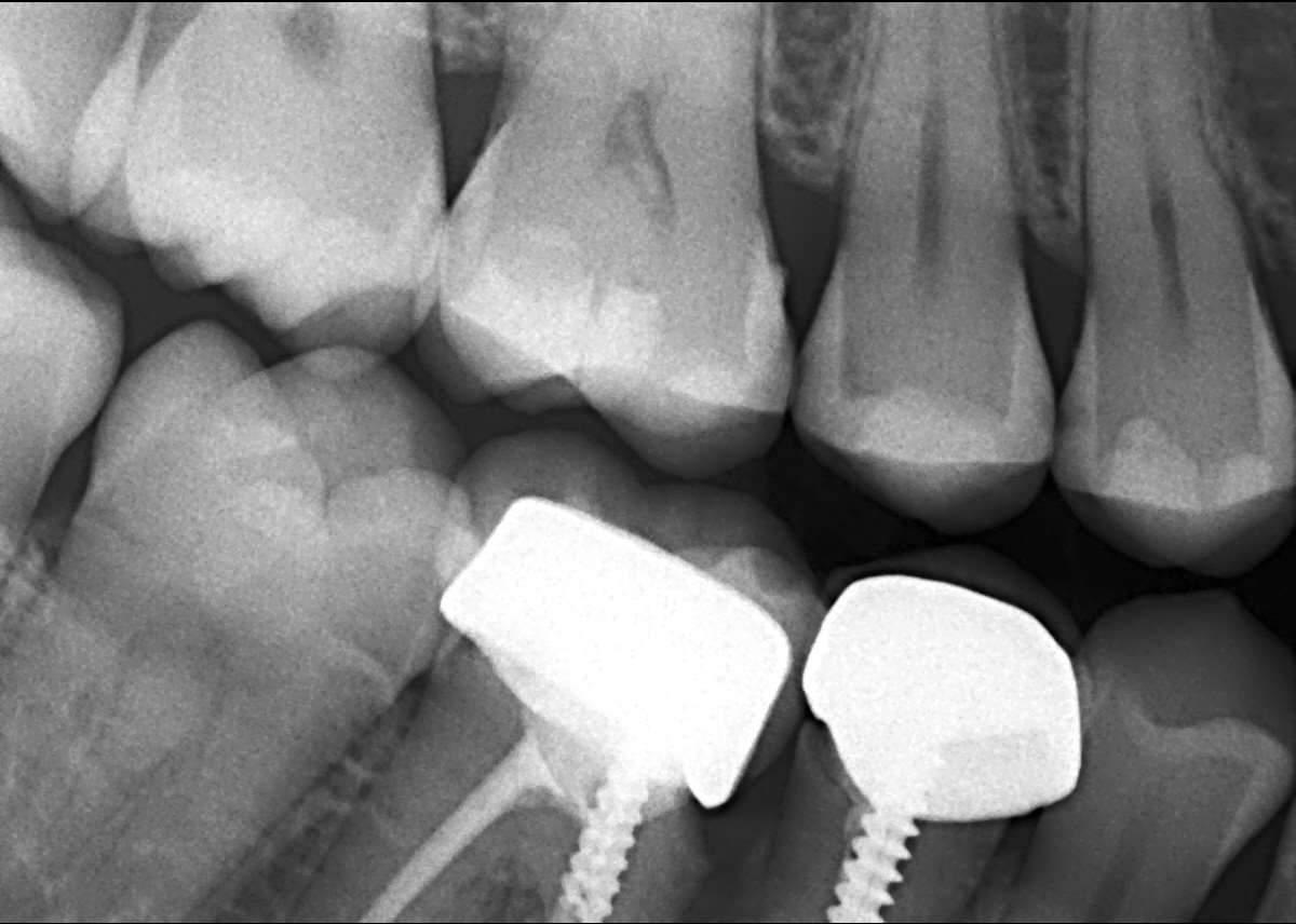
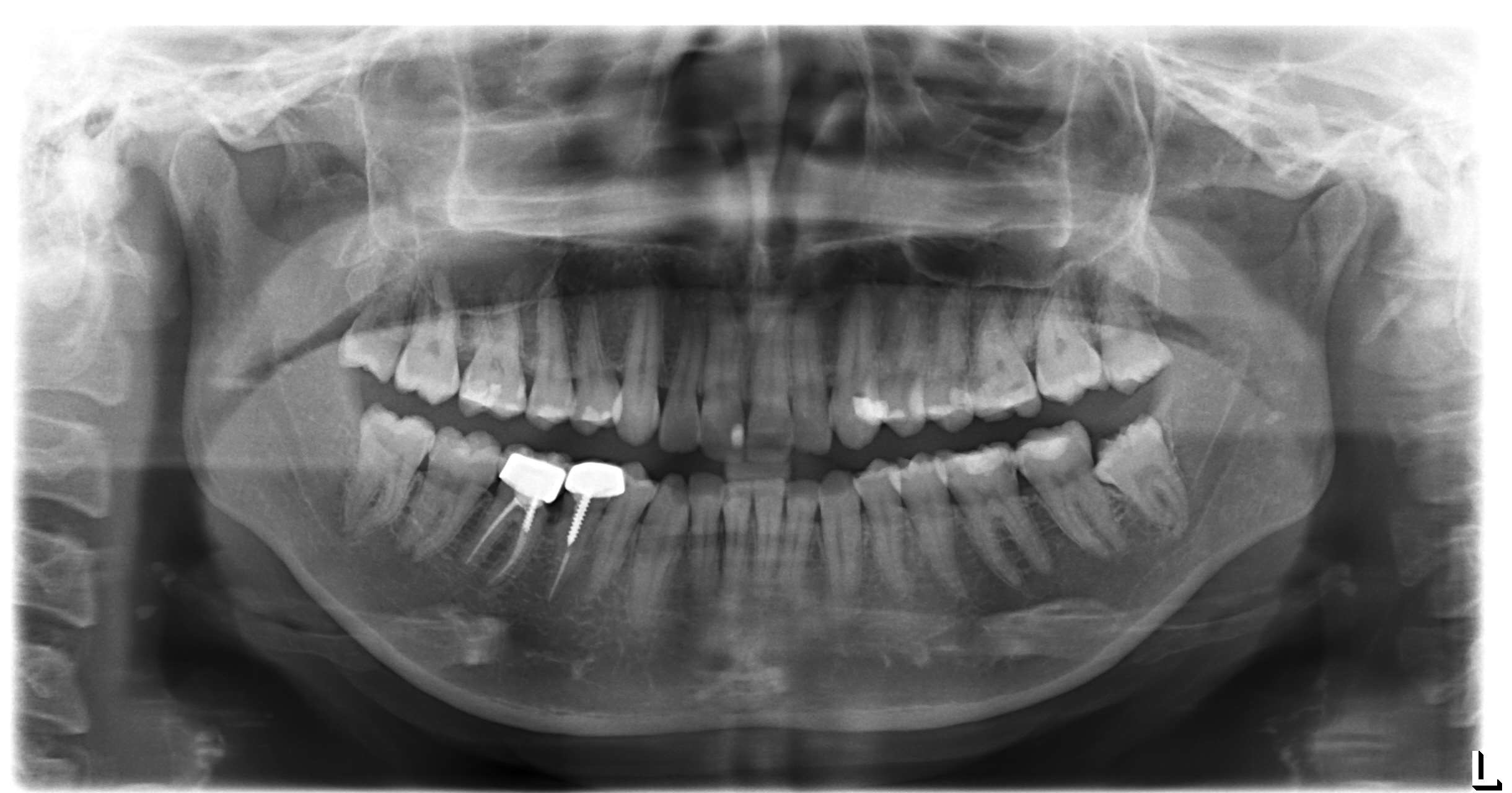
أعاني من الم في تلبيسة الاسنان ( سنين) مع نزيف دم عند استخدام خيط الاسنان

الملفات المرفقة:

IMG_6199 IMG_6200
WhatsApp Icon هل تريد إجابة أكثر تفصيلا؟ تحدث مع طبيب الآن

إجابات الأطباء على السؤال

محتمل تم تلبيس الاسنان واللثه ملتهبه 0 2026-03-05T17:36:14+00:00 2026-03-05T17:36:14+00:00
محتمل تم تلبيس الاسنان واللثه ملتهبه اقرأ المزيد
محتمل تم تلبيس الاسنان واللثه ملتهبه

التعليقات

0 تعليق

كن الأول في مشاركة رأيك!

شارك تجربتك أو رأيك مع الآخرين

أسئلة وإجابات مجانية مقترحة متعلقة بصحة الأسنان

محتوى طبي موثوق من أطباء وفريق الطبي

أخبار ومقالات طبية

جميع المقالات
15 نصيحة لمن يعاني من القولون العصبي مقالات طبية
قصص أدوية غيرت استخدامها بالصدفة أخبار طبية
شاهد جميع المقالات

آخر مقاطع الفيديو من أطباء متخصصين

أحدث الفيديوهات الطبية

عرض كل الفيديوهات الطبية
هل وجدت هذا المحتوى الطبي مفيدا؟
altibbi logo

احصل على إجابتك خلال ثوانٍ مع سينا

اسأل الآن سينا يقدم لكِ الإجابة في ثوانٍ

starts اسأل سينا الآن go to Sina
download sina banner
الأسئلة الأكثر تفاعلاً